东北地理所创新性揭示水稻低温萌发的调控机制
低温萌发(LTG)是水稻的一个重要农艺性状,也是水稻直播轻简栽培的先决条件。水稻属低温敏感型作物,经不同地理区域的人工选择和栽培产生了籼粳两个不同的水稻亚种,二者具有显著不同的耐冷性。一般来说,粳稻的低温萌发能力通常优于籼稻,并且在先前的研究中鉴定出的大多数耐冷等位基因均来源于粳稻。然而,关于低温萌发的遗传基础和分子机制仍不清晰。
近日,东北地理所方军研究员团队关于水稻低温萌发的最新研究成果刊发在国际综合性期刊顶级B刊Nature Communications(IF=16.6)上。研究发现,E2泛素耦合酶基因OsUBC12启动子中转座子的插入能够显著提高其转录水平,进而增强粳稻的低温萌发能力,并进一步揭示了UBC12调控水稻低温萌发的潜在机制,为培育适合直播特性水稻品种提供了基因及种质资源。
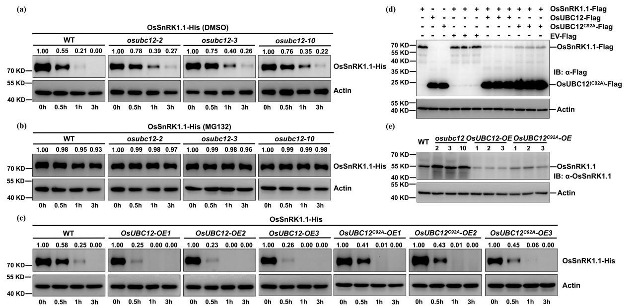
研究团队首先以染色体片段代换系(IR64背景/ Koshihikari渐渗)为试材,经萌发测试、群体构建及定位发现,与籼稻IR64相比,粳稻Koshihihikari背景中E2泛素耦合酶基因OsUBC12启动子中插入了一个转座子基因(约6kb)。进一步分析表明,OsUBC12启动子中转座子的插入能够显著提高OsUBC12的转录水平,进而促进水稻的低温萌发(图1)。OsUBC12的自然变异分析表明,该转座子的插入主要发生在粳稻亚种中,并已应用到籼粳杂交育种(图2)。分子和生化分析表明,OsUBC12能够招募OsSnRK1.1,并在体内和体外促进OsSnRK1.1的降解(图3),进而促进水稻的低温萌发。

图1 OsUBC12启动子中转座子的插入促进低温萌发

图2 OsUBC12在水稻中的自然变异及其潜在应用

图3 OsUBC12促进OsSnRK1.1的降解
基于以上结果,该研究提出了OsUBC12参与调控水稻低温萌发的工作模型(图4):OsSnRK1.1作为下游的关键调节因子,通过上调ABA信号抑制低温萌发。OsUBC12主要催化K48-多聚泛素化修饰,能够招募OsSnRK1.1并促进OsSnRK1.1的降解。与籼稻相比,粳稻OsUBC12启动子中转座子的插入显著激活OsUBC12的表达。而丰度提高的OsUBC12蛋白进一步促进OsSnRK1.1的降解,从而削弱OsSnRK1.1调节的ABA信号传导,增强粳稻的低温萌发能力。

图4 OsUBC12参与调控水稻低温萌发的工作模型
黑土地保护与利用全国重点实验室(筹)、东北地理所特别研究助理张传忠为论文的第一作者,方军研究员为通讯作者。东北地理所田晓杰副研究员和中国农业科学院深圳农业基因组研究所汪鸿儒研究员为该研究提供了重要帮助。东北地理所卜庆云研究员和中国水稻研究所张健研究员参与指导论文。东北地理所韩忠民特别研究助理、刘佳助理研究员、沙汉景助理研究员、韩云飞博士、吉林师范大学刘剑锋教授及林鑫焱硕士也参与了该项研究。研究得到中国科学院战略先导专项(A类)项目(XDA28100301)、国家自然科学基金(U22A20456)、黑龙江省优秀青年基金(YQ2021C035)、中国博士后科学基金(2021M693157)、东北地理所青年科学家小组项目(2023QNXZ02)等联合资助。
论文信息:
Chuanzhong Zhang, Hongru Wang, Xiaojie Tian, Xinyan Lin, Yunfei Han, Zhongmin Han, Hanjing Sha, Jia Liu, Jianfeng Liu, Jian Zhang, Qingyun Bu, Jun Fang. A transposon insertion in the promoter of OsUBC12 enhances cold tolerance during japonica rice germination. Nature Communications, 2024, 15, 2211.
论文链接:
https://www.nature.com/articles/s41467-024-46420-7
附件下载: